Your Swollen Gums Are Silently Sending Alerts—You Must Act Now! - mm-dev.agency
Your Swollen Gums Are Silently Sending Alerts—You Must Act Now!
Your Swollen Gums Are Silently Sending Alerts—You Must Act Now!
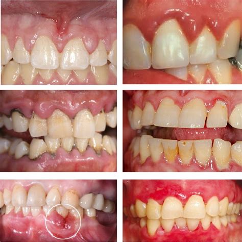
Swollen gums are not just a minor inconvenience—they’re a silent alarm signaling that something isn’t right in your oral health. While many patients overlook subtle signs like puffiness, redness, or tenderness, ignoring swollen gums can lead to serious complications. Understanding what causes gum swelling and acting promptly can protect your teeth, gums, and overall well-being.
Why Do Your Gums Swell?
Understanding the Context
Swollen gums often result from inflammation triggered by bacterial infections, particularly in conditions like gingivitis or periodontitis. Plaque buildup along the gumline irritates the tissue, causing redness, tenderness, and fluid accumulation. Other common culprits include:
- Trauma or irritation from hard-bristled toothbrushes or aggressive flossing
- Hormonal changes during pregnancy or menopause
- Vitamin deficiencies (especially vitamin C)
- Oral infections, such as abscesses or pageotitis
- Systemic conditions like diabetes or cardiovascular disease
Ignoring these signs may allow infections to worsen, potentially leading to gum recession, bone loss, or tooth loss.
Key Warning Signs of Swollen Gums You Shouldn’t Ignore
Image Gallery
Key Insights
- Persistent redness or tenderness
- Swelling that extends to cheeks or jawline
- Bleeding after brushing or flossing
- Persistent bad breath or metallic taste
- Pus formation or foul-smelling discharge
When swelling intensifies or lingers beyond a few days, it’s your body’s way of saying action is needed.
What You Must Do Immediately
1. Schedule a Dental Appointment
Consult your dentist as soon as possible. Professional assessment can diagnose the cause—whether it’s mild gingivitis, infection, or a systemic issue—ensuring timely treatment.
2. Maintain Gentle Oral Hygiene
Continue brushing twice daily with a soft-bristle toothbrush, floss gently to remove plaque, and use an antimicrobial mouthwash recommended by your dentist. Avoid harsh rinses that may irritate swollen tissue.
🔗 Related Articles You Might Like:
You Won’t Believe the Clash of Instinct: Sex with Horse Exposed From Stallion to Stator: The Hidden Erotic Fusion Only Are Asking About You Won’t Believe What They Installed in the Bedroom TonightFinal Thoughts
3. Avoid Irritants
Steer clear of tobacco, excessive sugar, and acidic foods that can inflame already sensitive gums. Stay hydrated to support saliva production, which naturally protects gum health.
4. Consider Nutritional Support
A vitamin C-rich diet or supplements may boost gum healing—especially if deficiency is suspected. Consult your healthcare provider before starting any supplement.
5. Watch for Signs of Progression
If swelling worsens, doesn’t improve within 3–5 days, or is accompanied by fever or tooth pain, seek immediate dental care to prevent advanced gum disease or systemic impact.
Prevention Is Better than Cure
To keep your gums healthy and avoid swelling:
- Brush and floss daily
- Visit your dentist for regular cleanings and check-ups
- Keep chronic conditions like diabetes under control
- Eat a balanced diet rich in vitamins and minerals
- Avoid smoking or using tobacco products
Your gums speak—a subtle puffiness or tenderness can reveal early warning signs of dental trouble. Don’t wait—swollen gums are not normal. Act now to protect your smile, your oral health, and your entire well-being. Early attention can prevent minor issues from developing into serious conditions. Your gums deserve care—listen closely, and respond wisely.
Keywords: swollen gums, gum inflammation, oral health warning signs, act now gum care, dental alert gums, gum swelling treatment, gingivitis symptoms, protect gums from infection, early gum disease signs.